13 年
手机商铺
入驻年限:13 年
成经理
浙江 杭州市 滨江区
实验室仪器 / 设备、抗体、试剂、细胞库 / 细胞培养、论文服务、技术服务
生产厂商 科研机构
公司新闻/正文
286 人阅读发布时间:2023-04-12 18:43
当前,斑马鱼基因编辑技术在基因敲除、基因敲入、转基因订制及表观遗传修饰等方面的应用日益广泛。
环特生物,作为全球斑马鱼技术应用企业,致力于为客户提供斑马鱼基因敲入、敲除、敲降、定制转基因技术服务及斑马鱼疾病模型开发等专业的基因编辑技术服务,并助力国内外科研工作者们在各类期刊发表了近200篇科研文章。仅2022年,环特生物又助力10余篇高分(zui高IF=23.17)科研文章登顶多家期刊,如Nature Communications、Journal of Hematology & Oncology等。本期,我们接着来看2篇由环特生物助力发表的科研文章~~~
01、影响因子(IF):8.185

文章题目:《Inner nuclear membrane protein TMEM201 maintains endothelial cell migration and angiogenesis by interacting with the LINC complex》
发表期刊:Journal of Molecular Cell Biology
影响因子(IF):8.185
JCR分区:Q1
第一单位:中国科学院上海药物研究所
DOI: 10.1093/jmcb/mjac017
文章主题:
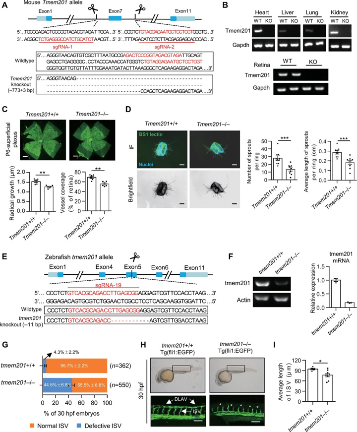
核膜蛋白是核膜各项功能职责的行使者,根据分布位置不同,被分为外核膜蛋白、内核膜蛋白以及核孔复合物三大类。目前,内核膜蛋白201 (TMEM201),自被鉴定发现以来,在多项组学研究中被检测到,但其在细胞功能中的作用仍有待确定。
该项研究揭示了TMEM201在血管系统和血管生成中的作用,发现TMEM201通过与R-SMADs直接相互作用正向调控乳腺癌转移的发生与发展,进一步完善了对内核膜蛋白这类“神秘蛋白”功能调控网络的认识。
通过短发夹RNA介导的干扰抑制TMEM201的表达,阻碍了人脐静脉内皮细胞(HUVEC)在管形成和纤维蛋白凝胶珠发芽测定中的血管生成行为,TMEM201缺陷的HUVEC表现出迁移能力受损。研究发现,TMEM201的N-末端与核骨架和细胞骨架复合物的接头相互作用,是调节内皮细胞迁移和血管生成所必需的。在Tmem201基因敲除小鼠过程中,视网膜血管发育受阻,主动脉环发芽缺陷。此外,tmem201的缺失损害了斑马鱼节间血管的发育。总之,TMEM201可以调节内皮细胞的迁移,控制血管生成的过程。

环特贡献:协助完成tmem201基因敲除斑马鱼品系的构建、数据统计、共聚焦成像、rescue等斑马鱼相关的实验。
02

文章题目:《One Stone Two Birds: Redox-Sensitive Colocalized Delivery of Cisplatin and Nitric Oxide through Cascade Reactions》
发表期刊:《JACS Au》——JACS(IF=16.383分的姐妹刊)
第一单位:中国药科大学自然药物国家重点实验室
DOI: 10.1021/jacsau.2c00390
文章主题:
恶性肿瘤是威胁人类健康和生命的重大疾病之一,纳米颗粒药物载体由于其独特的增强渗透性和滞留性(EPR)效应,在提高抗肿瘤药物生物利用率、增强疗效以及减少毒副作用方面发挥着重要作用。生物-有机键合-裂解反应已用于癌症治疗,以提高前药激活的生物特异性,但反应物的时空一致性仍然是一个巨大的挑战。
尽管在大多数情况下,裂解催化剂和笼状前药是分开施用的,但在它们在肿瘤部位相遇之前,很难提前避免反应。在此,我们设计并构建了新型配位纳米颗粒,将两种前药A和B作为配体,铁离子作为配位中心。纳米颗粒通过被动靶向在肿瘤中积累后,惰性Pt(IV)前药A被特异性和自发地还原为活性Pt(II)顺铂,其充当切割催化剂,随后引发B的原位生物正交脱汞,即O2炔丙基一氧化氮(NO)供体。配位纳米粒子的独特结构确保了生物-有机键合-清除反应的反应物(前药A和B)和产物(细胞毒性顺铂和杀瘤NO)的时空一致性,从而提高了对三阴性乳腺癌症(TNBC)的协同治疗活性。
生物正交双前药配位纳米颗粒的这一新概念可能会激发生物正交化学和联合化疗药物递送的进一步应用。
环特贡献:提供斑马鱼实验平台;提供斑马鱼CDX移植瘤模型。